Cirugía y anestesia
Sabemos lo importante que es tomar la decisión de llevarlos a quirófano. Nos preocupamos por ofrecer las mayores garantías posibles, y los cuidamos en tu ausencia como si de nuestros propios peluditos se tratase.
Adaptamos el protocolo anestésico a las características de cada paciente, haciendo un estudio prequirúrgico previo que nos indique la situación y evaluando los posibles riesgos.
Para ello, nos estamos formando desde hace más de 15 años, y hemos equipado nuestro quirófano para poder proporcionar a nuestro paciente las mejores condiciones. Contamos con aparato de anestesia inhalatoria y respirador automático que le proporciona al paciente estabilidad ventilatoria, electrobisturí bipolar y monopolar que nos reduce el riesgo de sangrado, monitor multiparamétrico que nos indica en todo momento como se encuentran sus constantes vitales (capnografía, pulsioxímetro, tensiómetro, termómetro esofágico); fuente de calor, para evitar la hipotermia que produce la anestesia,etc.
Hacemos todo tipo de cirugía de tejidos blandos: abdominales, torácicas, oncológicas y reconstructivas, reproductivas, traumatológicas, odontológicas, maxilofaciales, hormonales (tiroides, adrenales, timo, etc.).
Reproducción, obstetricia y pediatría
La esterilización de nuestros peludos es una decisión importante, tanto a nivel de responsabilidad social como a nivel individual de cada animal. Es por ello que creemos firmemente que no se debe tomar a la ligera. Disponemos de la formación más actualizada y es por ello, que ofrecemos un estudio individualizado para cada mascota, eligiendo según sus características de tamaño, edad, sexo, carácter, raza,.. la opción que le ofrecerá el mejor resultado para su salud.
Te contamos la diferencia entre castrar y esterilizar. Cuando hablamos de castración, nos referimos a anular o eliminar las gónadas (ovarios o testículos), esto se puede hacer de forma médica (por implante) o quirúrgica.
La esterilización consiste en mantener la actividad hormonal eliminando por completo la fertilidad. Esto lo conseguimos, en el caso de los machos, con vasectomía y epididectomía en el caso de los machos. Y con ovariectomías, histerectomías, ligadura de trompas, en el caso de las hembras.
Hay casos en los que está completamente contraindicada la castración, lo cual no quiere decir que no se pueda beneficiar de una esterilización.
Nuestra labor es aconsejarte de la forma más profesional.
Dentro de esta especialidad, también abarcamos:
- Diagnóstico de cualquier patología hormonal.
- Diagnóstico del momento óptimo para monta.
- Inseminación artificial en los casos que la precisen, con semen fresco, refrigerado, o congelado.
- Medicina preventiva y asesoramiento para un buen desarrollo en la etapa de cachorros.
Medicina felina
También somos amantes de los gatos, y nos hemos preocupado de crear un espacio exclusivamente para ellos en nuestra clínica, desde la sala de espera hasta la consulta y hospitalización.
Sabemos lo mal que lo pasan desde el momento que están en el trasportín; y por eso, queremos asesorarte desde que es pequeñito para que esta situación sea mucho más llevadera, empezando por las medidas del trasportín, el tipo de apertura, cómo hacer que se sienta seguro y tranquilo dentro de él.
En la consulta siempre nos ocuparemos de tratarlo con el respeto y cariño necesario para que no le suponga una mala experiencia.
Nuestra vocación hacia ellos nos ha hecho especializarnos para poder ofrecerles la mejor medicina preventiva; y en caso de enfermedad, los diagnósticos más acertados y tratamientos apropiados.
Ofrecemos ir a verlos a domicilio en aquellos casos en los que sea imposible sacarlos de casa, porque entendemos lo estresante que es, tanto para él como para ti, y no queremos que por eso deje de estar vigilada su salud.
Odontología y maxilofacial
Queremos concienciarte de lo importante que es su salud bucodental.
Puedes haber notado: Mal aliento, sarro, saliva purulenta, que se le cae un diente, ya no mastica el pienso, las cacas son distintas, vomita de vez en cuando… hay muchos síntomas que nos dan pistas, y debemos escucharlos.
Tenemos muy claro que la salud comienza en la boca, donde las bacterias generan la placa dental o sarro, pudiendo derivar en gingivitis, estomatitis y en última fase, periodontitis. Esta última fase no suele ser visible, y una vez que inicia, es irreversible y se le empezarán a caer los dientes.
Una periodontitis produce la resorción (desaparición) del hueso de la mandíbula, lo cual es muy doloroso para ellos.
Además, esas bacterias que tragan a diario, se instalan en su corazón, hígado, páncreas, riñones, etc., provocando problemas más graves para su salud.
Porque lo consideramos muy importante, hemos incorporado la radiografía dental como herramienta para poder ofrecer un mejor diagnóstico y tratamiento odontológico de tu mascota.
Una vez hecho el estudio de la enfermedad periodontal de tu peludillo, realizaremos el tratamiento más apropiado.
La importancia de las radiografías dentales en los perros
¿Cómo tomamos las radiografías dentales en los perros?
Las radiografías dentales en perros son similares a las que se toman en humanos. Una máquina de rayos X utiliza pequeñas cantidades de radiación para observar el interior de los dientes de tu mascota y las áreas ocultas debajo de la encía.
El nivel de exposición a los rayos x es tan bajo que no implica ningún efecto nocivo.
A diferencia de los humanos, los perros deben estar bajo anestesia general para las radiografías dentales. La anestesia es un procedimiento seguro y lo realizamos después de un examen general.
Lo adaptamos a cada caso y su mascota es monitorizada continuamente durante el examen dental.
¿Por qué es importante que a mi perro le hagan una radiografía de sus dientes?
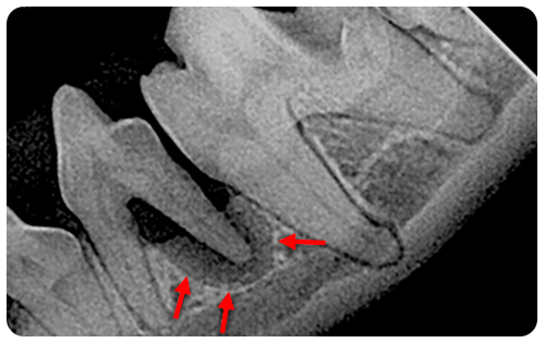
Los perros no pueden decirnos cuándo tienen una enfermedad dental, y algunos nunca muestran dolor, incluso si lo tienen. En muchos casos, las radiografías son la única forma de poder determinar si existe un problema dental y su gravedad. Por ejemplo, en la imagen, los dientes parecen normales, pero la radiografía muestra una pérdida ósea grave debido a una enfermedad periodontal dolorosa (flechas rojas en la imagen de abajo).

A diferencia de los humanos, los perros deben estar bajo anestesia general para las radiografías dentales. La anestesia es un procedimiento seguro y lo realizamos después de un examen general.
Lo adaptamos a cada caso y nos aseguramos de que su mascota es monitorizada continuamente durante el examen dental.
¿Con qué frecuencia debo radiografiar los dientes de mi perro?
Necesitaran un examen bucal bajo anestesia cuando presenten dientes faltantes, descoloridos o rotos, encías inflamadas, crecimientos en la boca o mal aliento.
Incluso sin ninguno de estos signos, es necesario radiografiar la boca de los perros al menos una vez al año.
Recordando que un año humano equivale a 5-7 años caninos, y las personas nos hacemos radiografías dentales rutinariamente al menos cada dos años.
Los servicios de nuestra clínica
- Medicina interna.
- Medicina preventiva.
- Dermatología.
- Oncología.
- Neurología.
- Cardiología.
- Oftalmología.
- Etología.
- Diagnóstico por imagen (rayos x y ecografía).
- Análisis clínicos.
- Certificados de viaje, pasaportes.
- Consultas a domicilio.
- Tienda especializada (alimentación, cosmética y nutracéuticos).
- Animales exóticos.